Dual Hemispheric Transcranial Direct Current Stimulation Tdcs Over Primary Motor Cortex Does Not Affect Movement Selection
Pdf Pathophysiology And Treatment Of Alien Hand Syndrome
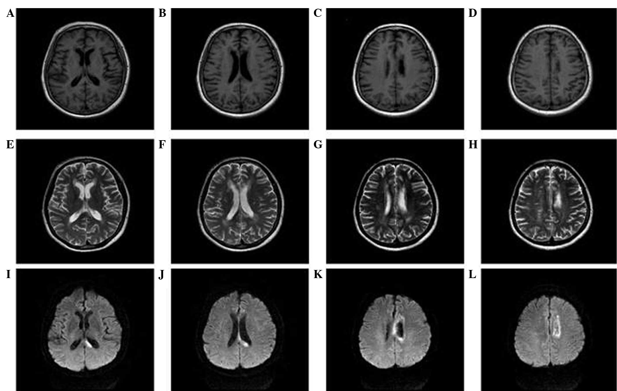
Alien Hand Syndrome Neurology
Alien Hand Syndrome Neurology
Involuntary Hand Levitation Associated With Parietal Damage Another Alien Hand Syndrome